6月18日,51风流
口腔内科儿童口腔团队在日间手术中心为一名6岁患儿在全麻下完成17颗牙齿的治疗,通过一站式精准干预解决了患儿复杂口腔问题,避免了多次治疗对患儿心理健康带来的不利影响。

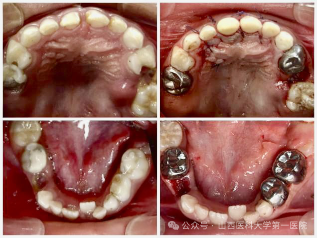
儿童龋病患病率高达70%,很多患儿因龋齿出现牙痛、咀嚼困难、继承恒牙发育异常等问题,然而传统治疗常因患儿恐惧、哭闹或难以配合导致无法进行常规口腔治疗,若强制治疗可能因抗拒行为存在口唇牙龈软组织撕裂等。本次接受治疗的患儿因长期全口多颗牙龋齿导致乳牙严重缺损,伴牙髓炎症反复发作,同时影像学检查发现上前牙区存在2颗埋伏多生牙影响恒牙正常萌出,因患儿恐惧无法进行门诊治疗,口腔内科赵玮副主任医师、孟璐璐主治医师、杜晓红护士长、罗淋护士详细制定治疗方案,口腔颌面外科令狐清溪副主任医师全力配合,在麻醉科吕洁萍主任、侯瑜主治医师、日间手术中心护士长史丽萍的支持下,经三方会诊和全面评估在日间手术中心实施全麻下微创口腔治疗。

手术当天在麻醉科经鼻插管全气道管理全身麻醉下,口腔内科采用微创去腐复合树脂美学修复、牙髓根管治疗、牙髓切断术以及预成冠技术恢复患牙的形态及功能;口腔颌面外科团队微创拔除2颗埋伏牙多生牙,患儿术后2小时完全苏醒,经观察无任何不适于第二日上午离院。
口腔内科儿童口腔团队不仅具备精细化治疗技术,而且更注重无痛、微创和儿童心理关怀,今后将持续优化儿童舒适化诊疗流程,推广多学科联合模式,让更多患儿享受“无惧看牙”的优质服务。
口腔内科儿童口腔及预防门诊诊疗范围
儿童诊疗行为管理,儿童口腔常见疾病的诊断和治疗,包括乳牙龋病充填、根管治疗、乳牙及年轻恒牙活髓保存术、牙外伤的应急处理,以及窝沟封闭、氟化物防龋等预防保健工作,开展儿童及特殊人群全麻下口腔舒适化综合治疗。
供稿:口腔内科 孟璐璐
制作:朱虹瑾
初审初校:孙晓军
复审复校:张君
终审终校:程红
发布:董希秀