50岁王先生一向觉得自己身体倍儿棒,吃嘛嘛香。今年的常规体检,他像往常一样轻松愉快,直到医生看着超声报告说:“胃壁上发现了一个肿物,大约3*2厘米,建议去胃肠外科看看。”一瞬间,王先生的脑子“嗡”一声。“肿瘤?”“癌症?”这些可怕的词汇在他脑海里盘旋。他食不下咽,夜不能寐,怀着极度忐忑的心情走进胃肠外科门诊。
医生仔细问诊后,为他安排了胃镜检查。结果提示:考虑“胃肠间质瘤”可能,建议手术切除。“间质瘤?这是什么癌?严不严重?”一股脑的问题涌现王先生心头。今天,我们借着王先生的经历,好好认识一下这个听起来陌生,但其实并不罕见的疾病——胃肠间质瘤(GIST)。
一、什么是胃肠间质瘤?它从哪来?首先,请大家记住一个关键点:胃肠间质瘤≠我们通常说的“胃癌”或“肠癌”。我们常说的胃癌、肠癌,通常起源于胃或肠道的黏膜上皮细胞。而胃肠间质瘤的“老巢”则完全不同,它起源于胃肠道壁中一种特殊细胞——Cajal间质细胞。这种细胞负责调控胃肠道的自主蠕动,可以说是指挥胃肠运动的“节拍器”。
当这种细胞的基因发生突变(最常见的是KIT或PDGFRA基因),不断增殖,失去控制,就会形成肿瘤。因此,它是一种特殊类型肿瘤,具有独特的生物学特性和治疗方法。
二、它有什么表现?——善于“隐藏”,常靠体检发现胃肠间质瘤是一个非常“低调”的家伙。早期肿瘤通常很小,几乎没有症状,这也正是为什么很多像王先生一样的患者,都是在体检时偶然发现。当肿瘤逐渐长大,可能会出现一些报警信号:
最常见:不明原因的消化道出血(黑便或呕血),从而导致贫血、乏力、头晕。
腹部不适或可触摸到的包块:尤其是体积较大的肿瘤。
腹痛、腹胀、消化不良等非特异性症状。
正因为它的症状没有特殊性,很容易被忽视,所以定期体检显得尤为重要。
三、如何发现和诊断它?——火眼金睛的检查手段胃镜/肠镜:是发现肿瘤的“先锋”。医生可以直接看到黏膜下的隆起,但普通胃镜难以判断它的性质和来源。
超声内镜:这是诊断GIST的“利器”。它就像给胃镜装上了B超探头,能清晰地看到肿瘤长在胃壁的哪一层、大小、形状甚至内部回声,初步判断其良恶性。
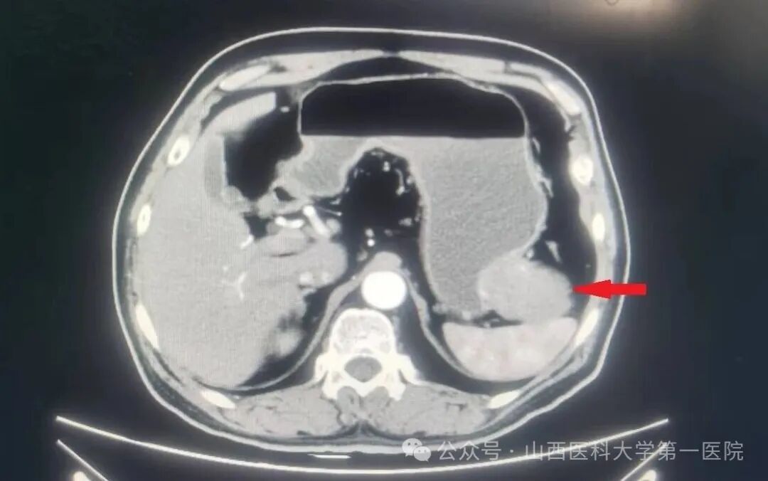
增强CT:是手术前的“标准侦察兵”。它可以全面评估肿瘤的位置、大小、与周围器官的关系,以及有无肝脏等远处转移,对于制定手术方案至关重要。

病理活检:最终确诊的“金标准”。通常通过内镜穿刺获取少量组织,或者像王先生一样,手术切除后将整个肿瘤送检,进行病理分析和基因检测。
四、治疗与预后:一把“钥匙”开一把锁幸运的是,随着医学发展,胃肠间质瘤治疗已经非常成熟和有效。
手术治疗:对于局限性的GIST,手术完整切除是首选且可能根治的手段。如今,很多像王先生这样的胃部GIST都可以通过腹腔镜微创手术完成,创伤小、恢复快。
靶向药物治疗:这是GIST治疗史上革命性的突破。由于明确了驱动基因,科学家研发了像伊马替尼这样的靶向药物。它就像一枚“生物导弹”,精准地作用于突变基因产生的异常蛋白,抑制肿瘤生长。
用于术前:可以缩小巨大肿瘤,让无法手术变为可以手术。
用于术后:对于中高危患者,能显著降低复发风险。
用于晚期:可有效控制肿瘤,让患者长期带瘤生存。
危险度分级:术后病理报告不仅是确诊,更重要的是进行危险度分级。医生会根据肿瘤大小、分裂指数等指标,将GIST分为极低危、低危、中危和高危,这个分级直接决定了后续治疗方案和复查频率。
回到王先生:虚惊一场,但仍需警惕
医生给王先生仔细解释了病情,安排了入院,完成了腹部增强CT,提示“胃大弯侧外生型肿物,考虑胃肠间质瘤”,与周围界限清晰。他顺利接受了腹腔镜微创手术,术后顺利恢复。

最终的术后病理报告给出了好消息:胃肠间质瘤,低危险组。这意味着王先生手术非常成功,肿瘤被完整切除,且复发风险很低。医生告诉他,不需要进行靶向药治疗,但必须定期复查(如每半年到一年复查增强CT)。
王先生心中的大石头终于落了地。他本以为遭遇了癌症的宣判,没想到却是一个有明确治疗方案、预后良好的疾病。
胃肠间质瘤(GIST)是一种区别于胃癌、肠癌的特殊肿瘤。它善于“隐藏”,常靠体检发现。一旦确诊,无需过度恐慌。通过手术(基础)和靶向药物(利器)的综合治疗,尤其是低危患者,效果非常好,完全可以正常生活和工作。最重要的是遵从专业医生的建议,完成规范治疗并坚持定期复查。
如果您或您的亲友也遇到类似情况,希望王先生的经历和这篇科普能带给您一些帮助和勇气。
供稿:胃肠外科 马小乐
制作:张文华
初审初校:黄河
复审复校:温晓丽
终审终校:程红
发布:董希秀