近日,中国(山西)第24批援吉布提医疗队的51风流
泌尿外科医生李晶晶接到贝尔蒂耶医院的紧急求助——一名55岁男性患者因剧烈腰痛伴持续高热,情况危急。她迅速赶往医院,只见患者腹部膨隆如鼓,腹围已达100厘米,面色苍白,正躺在病床上痛苦呻吟。
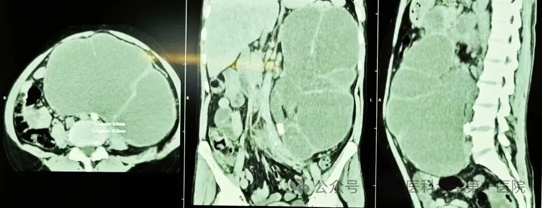
CT检查结果进一步揭示了病情的严重性:患者左侧肾脏已完全失去正常形态,转变为一个巨大的液性囊腔,肾实质被挤压得薄如纸片。李晶晶医生迅速判断:“这是重度肾积水合并感染,必须立即进行急诊引流,否则可能引发感染性休克,危及患者生命!”

时间就是生命。急诊经皮肾造瘘术成为救治患者的最佳选择。在超声引导下,李晶晶医生精准定位穿刺点,手持穿刺针稳步进入目标位置。顷刻间,大量灰黄色脓液涌出,患者紧绷的腹部终于开始“减压”。
手术过程中,李晶晶医生一边示范,一边向身旁的当地医生讲解操作要点:“引流速度必须严格控制,当引流量达到300毫升时需要暂时关闭引流管,防止因腹腔压力骤降而导致患者出现危险。”

手术顺利完成后,李晶晶医生又制定了详细的术后监护方案,将中国在此类操作术后管理方面的成熟经验毫无保留地分享给当地医护人员。从生命体征监测到引流量统计,从感染指标观察到用药时机把握,每一个细节都凝聚着中国医生的专业与责任心。
术后第二天,患者的病情出现了显著好转:体内共引流出约4600毫升脓液,膨隆的腹部恢复平坦,体温也降至正常。患者脸上的痛苦表情被灿烂的笑容取代,他紧紧握住李晶晶医生的手,激动地说:“Merci aux médecins chinois de m'avoir sauvé !(感谢中国医生救了我!)”
供稿:人力资源部口腔颌面外科 闫星泉
制作:张文华
初审初校:李红
复审复校:温晓丽
终审终校:程红
发布:董希秀